Book Online

This smile makeover photo gallery showcases the exceptional work of Dr. Joel Khoo (Prosthodontist).
Dr. Khoo successfully completed a 3 years ADA accredited Prosthodontics specialty training in 2011 from the University of Iowa. This full time training provided Dr. Khoo with advanced training and knowledge in smile makeovers.
Since then, he has gone on to help numerous patients, including dentists, recreate the smile they have always wanted.
If you are interested in a smile makeover, please ask specifically for a “smile makeover evaluation” when making your first appointment. At your first appointment, you will have the opportunity to share with Dr. Khoo your concerns and expectations for a smile makeover.
A comprehensive oral evaluation and a smile makeover treatment plan will be created for you at the same visit. In advanced smile makeover cases, additional visits will be needed to complete an advanced smile analysis and treatment plan.
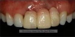
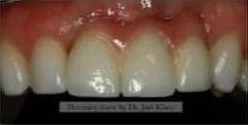
Crowns and dentures for smile makeover
Crowns & Dentures
After
Before


Crowns & Dentures
After
Before


Implant bridge for missing front teeth
Implant Bridge
After
Before


Implant Bridge
After
Before


Implants and dentures to replace failing teeth
Implants & Dentures
After
Before


Implants & Dentures
After
Before


Single tooth implants to replace missing teeth
Single Tooth Implants
After
Before



Crowns for severely worn teeth
Crowns
After
Before



Crowns
After
Before


Crowns for a smile makeover
Crowns
After
Before


Crowns
After
Before


Implants and crowns for a smile makeover
Implants & Crowns
After
Before


Implants & Crowns
After
Before


Severe teeth wear, crowns and partial denture
Crowns & Partial Denture
After
Before


Crowns & Partial Denture
After
Before



Dental Erosion
Dental Erosion
After
Before


Dental Erosion
After
Before


